Restore Broken Teeth Effectively: Tooth Fracture Treatment in Islamabad

Understanding Tooth Fractures

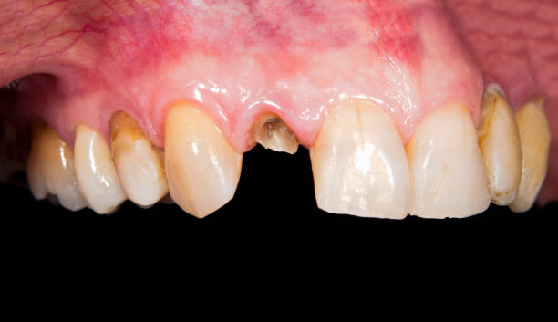
A fractured tooth can range from a tiny chip to a deep crack affecting the pulp. Left untreated, fractures can cause pain, infection, or even tooth loss. Professional Tooth fracture treatment in Islamabad ensures timely restoration, protecting both the health and aesthetics of your teeth.

Even a small crack can worsen over time, making early intervention essential.

Common Causes of Tooth Fractures

Understanding what leads to tooth fractures helps in prevention and proper treatment.

Trauma or Accidents

Falls, sports injuries, or sudden impacts can cause immediate damage.

Weakened Tooth Structure

Decay, large fillings, or previously treated teeth are more susceptible to fractures.

Teeth Grinding

Chronic bruxism exerts pressure, causing cracks to form gradually.

Hard Food Consumption

Chewing ice, bones, or very hard foods can create chips or cracks.

Identifying these factors can help patients take preventive measures.

Symptoms of a Fractured Tooth

Early detection is key to successful treatment. Watch for:

  • Pain when chewing or biting
  • Sensitivity to hot, cold, or sweet foods
  • Swelling or tenderness around the tooth
  • Visible cracks or chips
  • Intermittent sharp discomfort

Immediate consultation prevents complications and preserves tooth structure.

Treatment Options Available in Islamabad

Dental clinics in Islamabad offer modern solutions to repair fractured teeth based on severity.

Tooth Bonding

A cost-effective solution for minor chips using tooth-colored resin.

Dental Crowns

Restore strength and protect damaged teeth from further breakage.

Root Canal Therapy

Used when the fracture reaches the pulp to remove infection and save the tooth.

Dental Implants

Recommended when a tooth is beyond repair, providing a permanent replacement.

Each treatment is tailored to restore function, comfort, and appearance.

Advantages of Professional Dental Care

Seeking expert care offers significant benefits:

  • Precise diagnosis using advanced imaging
  • Personalized treatment plans
  • Comfortable, minimally invasive procedures
  • Long-lasting, natural results

Professional dental care ensures both oral health and confidence are restored.

Post-Treatment Care

Maintaining the results after treatment is essential.

  • Avoid hard foods for a few days
  • Brush and floss gently
  • Attend follow-up appointments
  • Follow dentist recommendations carefully

Proper aftercare prolongs the life of the treatment and prevents future issues.

Preventing Future Tooth Fractures

Simple habits can significantly reduce the risk of fractures:

  • Use mouthguards for sports
  • Avoid chewing hard objects
  • Treat grinding or clenching habits
  • Maintain regular dental check-ups
  • Eat a diet that supports strong teeth

Consistent preventive measures keep teeth healthy and strong.

Cost and Accessibility

Treatment costs depend on fracture severity and procedure type. Minor bonding is affordable, while crowns, root canals, or implants may cost more. Many Islamabad clinics offer flexible payment options for patients.

Final Thoughts

Tooth fractures can cause pain and affect your confidence, but with modern dentistry, they can be treated effectively. Timely care restores strength, function, and a natural smile.

For a complete cosmetic and aesthetic enhancement, visiting a trusted Hair Transplant clinic Islamabad can help you achieve advanced, professional results with long-term benefits.

Leave a Reply

Your email address will not be published. Required fields are marked *